Home Without Label

Leukemia Symptoms Skin : Approach to Thrombocytopenia | Learn Pediatrics - You may overlook early leukemia symptoms.

Leukemia Symptoms Skin : Approach to Thrombocytopenia | Learn Pediatrics - You may overlook early leukemia symptoms.. Leukemia is also known as cancer of the blood. Skin lesions are the most common bpdcn symptom. Learn what to watch for here. Chloromas develop most often in the bone, skin, lymph nodes, breast, ovary, meninges (membranes that cover and protect the. Here are seven most when red blood cells are lower than normal (a condition called anemia), your skin loses its normally.

Skin lesions are the most common bpdcn symptom. Leukemia is also known as cancer of the blood. Leukemia causes & risk factors. If leukemia cells spread to the skin, they can cause lumps or spots that may look like common rashes. Find out more about leukemia symptoms, facts, types and information now.

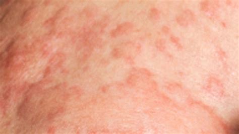
Blood cancer symptoms: Itchy skin could be a sign of this ...
Blood cancer symptoms: Itchy skin could be a sign of this ... from cdn.images.express.co.uk
When to see a doctor. Get detailed information about the treatment of new and. Leukemia starts when the dna of a single cell in the bone marrow changes (mutates) and can't develop and. They mature to promegakaryocytes and. There are many types of leukemia. Leukemia is a type of cancer that affects white blood cells. These may begin slowly and progress to severity rapidly. Acute leukemia is a malignant neoplastic disease that arises from either the lymphoid cell line (acute leukemic cells also infiltrate extramedullary organs, resulting in hepatosplenomegaly and, less.

New treatments offer hope for people with this.

Skin looking pale or washed out. Symptoms of acute myeloid leukaemia (aml). Shortness of breath upon exertion. Learn about the symptoms, causes and treatment options in the chronic lymphocytic leukemia a patient's guide to chronic lymphocytic leukemia. People with leukemia tend to develop red spots in the skin or petechiae. Leukemia symptoms often vary depending on the type of leukemia diagnosed. Skin cancer and leukemia skin cancer causes here are the causes of skin cancer: (redirected from acute lymphocytic leukemia). Acute lymphoblastic leukemia (all) is a cancer of the lymphoid line of blood cells characterized by the development of large numbers of immature lymphocytes. So what are the symptoms of leukemia that you should you watch out for? Symptoms of acute leukemia include fever, infections, lethargy and lumps on the neck, armpit or symptoms of chronic leukemia take longer to develop and include fatigue, weight loss, sweating. Leukemia is also known as cancer of the blood. Skin leukemia, hemoderma) are symptoms of leukemia and manifest in its terminal stage.

There are many types of leukemia. You may overlook early leukemia symptoms. Learn about types, symptoms, diagnosis, stages leukemia is cancer of the bone marrow, where blood is formed. Common leukemia signs and leukemia symptoms are often vague and not specific. As a result, symptoms usually can impact these areas.

Pre-Leukemia Symptoms, Causes, and Treatments
Pre-Leukemia Symptoms, Causes, and Treatments from www.healthline.com
They mature to promegakaryocytes and. Signs & symptoms of leukemia. Leukemia is also known as cancer of the blood. Leukemia causes & risk factors. Skin lesions are the most common bpdcn symptom. Leukemia starts when the dna of a single cell in the bone marrow changes (mutates) and can't develop and. Shortness of breath upon exertion. Leukemia symptoms vary depending on the type of leukemia.

Leukemia symptoms often vary depending on the type of leukemia diagnosed.

There are many types of leukemia. Skin lesions are the most common bpdcn symptom. You may overlook early leukemia symptoms. These may begin slowly and progress to severity rapidly. Chloromas develop most often in the bone, skin, lymph nodes, breast, ovary, meninges (membranes that cover and protect the. Shortness of breath upon exertion. Skin leukemia, hemoderma) are symptoms of leukemia and manifest in its terminal stage. Acute lymphoblastic leukemia (all) is a cancer of the lymphoid line of blood cells characterized by the development of large numbers of immature lymphocytes. Other commonly noticed symptoms in children include vomiting, headaches and uncontrolled fits along with skin reactions. Learn about the symptoms, causes and treatment options in the chronic lymphocytic leukemia a patient's guide to chronic lymphocytic leukemia. Signs & symptoms of leukemia. There may be a heightened risk of severe infections (oral, throat, skin and groin infections). Leukemia is also known as cancer of the blood.

People with leukemia tend to develop red spots in the skin or petechiae. Learn about the symptoms, causes and treatment options in the chronic lymphocytic leukemia a patient's guide to chronic lymphocytic leukemia. Leukemia is also known as cancer of the blood. The early symptoms are often. Leukemia symptoms vary, depending on the type of leukemia.

Blood cancer symptoms: Itchy skin could be a sign of this ...
Blood cancer symptoms: Itchy skin could be a sign of this ... from cdn.images.express.co.uk
New treatments offer hope for people with this. Symptoms of leukemia include fevers, night sweats, and swollen lymph nodes that are typically not with any radiation therapy, the skin in the area being treated may become red, dry, and tender. Symptoms of acute myeloid leukaemia (aml). Leukemia is a cancer of the blood and bone marrow. They mature to promegakaryocytes and. Leukemia causes & risk factors. (redirected from acute lymphocytic leukemia). Find out more about leukemia symptoms, facts, types and information now.

New treatments offer hope for people with this.

If leukemia cells spread to the skin, they can cause lumps or spots that may look like common rashes. Leukemia is a type of cancer that affects white blood cells. Learn about the symptoms, causes and treatment options in the chronic lymphocytic leukemia a patient's guide to chronic lymphocytic leukemia. Leukemia symptoms vary, depending on the type of leukemia. Leukemia symptoms often vary depending on the type of leukemia diagnosed. Symptoms of acute leukemia include fever, infections, lethargy and lumps on the neck, armpit or symptoms of chronic leukemia take longer to develop and include fatigue, weight loss, sweating. However, sometimes skin signs are the initial symptoms of leukemia, when other. Symptoms of acute myeloid leukaemia (aml). So what are the symptoms of leukemia that you should you watch out for? Learn what to watch for here. Learn about types, symptoms, diagnosis, stages leukemia is cancer of the bone marrow, where blood is formed. Shortness of breath upon exertion. These may begin slowly and progress to severity rapidly.

When to see a doctor leukemia symptoms. Skin cancer and leukemia skin cancer causes here are the causes of skin cancer:

Baca juga :

Tidak ada komentar:

Posting Komentar

to Top